骨頭,很像房子的木制框架,在支撐和保護身體內部的軟組織和器官的同時,定義和塑造身體的形狀。由于這些特殊的細胞集合以特定的方式排列,它們形成了一種堅硬的形式,使身體的每個部分都能單獨移動,并與身體的其他部分相結合損...
骨頭,很像房子的木制框架,在支撐和保護身體內部的軟組織和器官的同時,定義和塑造身體的形狀。由于這些特殊的細胞集合以特定的方式排列,它們形成了一種堅硬的形式,使身體的每個部分都能單獨移動,并與身體的其他部分相結合損傷發生時會破壞結構或穩定性,如骨折或連續性斷裂,需要采取措施恢復其統一性。腓骨板是一種特殊的金屬支架,連接在腓骨上,腓骨是小腿長骨之一,當骨骼的完整性嚴重受損時。

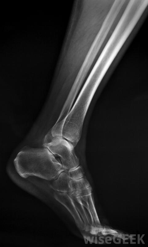
腓骨比脛骨更薄、更脆弱。
腓骨也被稱為小腿骨之一,位于側面或小腿外側。這又長又細的骨頭鉤在脛骨上,從膝蓋下一直延伸到腳踝。它與較重的鄰近脛骨的連接方式使這兩塊骨頭看起來像一個鉤子或安全別針。雖然脛骨承受著身體的重量,并且在某種程度上獨立于腓骨,但較粗的骨頭發生骨折可能會同時損傷腓骨。腓骨不能承受重量,固定腓骨板可為該骨提供必要的額外支撐,以確保正常愈合。

放置腓骨板后,將對腿部應用石膏。
如果骨骼的"固定"不正確,骨骼穩定性的破壞會導致持續的、可能是永久性的疼痛和功能障礙在許多閉合性骨折的病例中,碎骨不能穿透皮膚,在負重限制的情況下,應用石膏幾個星期可以使骨頭愈合。腓骨這樣的骨頭附著在更堅固的骨頭上,不承受重量,外科植入腓骨板有助于保持骨的位置,同時將骨折端固定在一起,以提高正常愈合的機會。

通常需要在腓骨板固定后的幾周內進行鑄造和休息放置。
腓骨鋼板的放置取決于骨折的位置和嚴重程度。換句話說,整個腓骨或僅部分腓骨可能涉及電鍍技術。用于腓骨板的薄金屬條與骨平行放置,并直接擰入骨中。然后在腿外側放置石膏幾個星期,以確保腿保持不動。在許多情況下,腓骨板即使在完全愈合后仍然與骨頭掛鉤。

一些腿部骨折可能需要鋼板、螺釘或桿,以確保它們能夠正確對齊愈合。