腓骨是小腿的一塊骨頭,與較大的負重脛骨相連。腓骨是人體長骨中最細的一塊,容易骨折,發生這種情況時,骨骼周圍的軟組織也有可能受損。腓骨骨折的治療將根據損傷的嚴重程度而有所不同,但急救應始終包括固定骨折的腿和治療受...
腓骨是小腿的一塊骨頭,與較大的負重脛骨相連。腓骨是人體長骨中最細的一塊,容易骨折,發生這種情況時,骨骼周圍的軟組織也有可能受損。腓骨骨折的治療將根據損傷的嚴重程度而有所不同,但急救應始終包括固定骨折的腿和治療受傷可能導致的任何出血。腓骨骨折治療可包括手術、固定,以及米飯的治療。

腓骨骨折通常使用石膏。
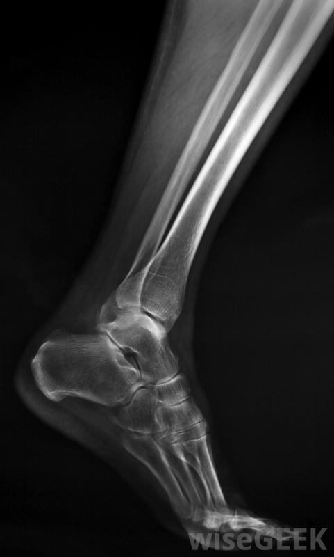
RICE代表休息、冰敷、加壓和抬高。如果骨折不嚴重,醫生可能會推薦這種方法來促進愈合,防止腫脹和疼痛。腓骨應力性骨折很可能是用這種方法治療的。x光片很可能是腓骨骨折治療的一部分,這一步對于確定損傷的嚴重程度非常重要。嚴重程度通常決定最好的治療方法腓骨骨折治療。如果骨折嚴重到皮膚破裂并引起劇烈疼痛或出血,腓骨骨折的治療將更加深入。

X光可以幫助確定腓骨骨折的嚴重程度。
,醫生可能會首先治療任何可能發生的出血,他或她也可能會開止痛藥,因為腓骨骨折會非常痛苦。很可能周圍組織已經受損,可能需要手術來處理這種損傷。如果骨折需要復位,這將發生在急診室最糟糕的骨折情況需要進行手術,包括放置有助于將骨頭固定在一起的銷釘或螺絲釘。手術后的恢復時間可能會很長,因為骨骼會自然愈合。
在整個過程中,必須提供藥物來幫助防止感染。可以注射破傷風疫苗,以及抗生素,可以幫助預防感染。一旦骨骼愈合數周甚至數月,康復過程就可以進行,以幫助加強骨骼和周圍組織。物理治療師可以與患者一起安全地加強和調節肌肉、肌腱、韌帶,以及腿部的骨頭。

處理腓骨骨折時可以進行手術。