肩關節滑囊炎最好的治療方法是減少炎癥,這樣可以減輕問題的嚴重程度和疼痛。滑囊炎是人體骨骼和關節之間充滿液體的囊的炎癥。就肩關節而言,手臂的運動可能會使疼痛加劇,但手臂的運動通常在肩部滑囊炎消退之前是無法避免的,避免手臂在頭頂上反復移動是最好的治療方法之一;肩關節。
肩上舉重物或其他物體等運動會使肩關節過度受力,導致囊炎。肩囊炎的主要癥狀是疼痛和關節腫脹。治療肩關節腫脹的最好方法是用冰袋。在將冰袋放在裸露的皮膚上之前,應該用毛巾包住冰袋。許多肩關節滑囊炎是由重復的頭頂運動引起的,因此應盡可能避免這些情況。
冰袋可用于治療與肩關節滑囊炎相關的關節腫脹。
對于側睡的人來說,睡在受影響的肩膀上會加重滑囊炎,因此理想情況下應避免使用。如果休息和結冰不能幫助治愈滑囊炎的疼痛,應尋求醫療幫助。如果肩關節紅腫,應立即尋求專業醫護人員;這通常表明感染。醫生會為感染性肩滑囊炎開抗生素治療醫生也可以進行一些診斷測試,包括血液測試、超聲波掃描或x光檢查。
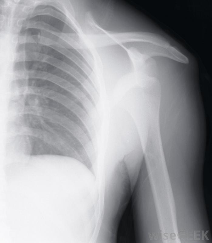
肩關節x光檢查可幫助指示肩關節滑囊炎的嚴重程度和正確的治療。
如果肩滑囊炎仍然很痛,醫生可以通過注射可的松來治療。可的松是腎上腺中天然存在的一種激素。合成的可的松可以通過注射到關節來減輕疼痛和炎癥來用作抗炎藥。由于肩關節滑囊炎是炎癥,而可的松是用來緩解的,注射是肩關節滑囊炎減輕疼痛腫脹的最佳治療方法。
如果三個月后,非手術治療仍未成功,手術治療肩關節滑囊炎可能是最好的治療方法。但是手術治療滑囊炎是很少見的,因為非手術治療通常可以緩解這個問題。一些滑囊炎患者可能會嘗試其他治療方法,如針灸,在考慮手術前,針灸師會在肩部區域插入小針頭,在特定部位施加穩定的壓力,以鼓勵新的血液流入囊袋。在某些情況下,針灸等肩關節滑囊炎的治療可能是最好的選擇,因為它們可以減少炎癥,幫助關節活動流暢。
可能需要醫生進行體格檢查以正確診斷肩部滑囊炎。
肩上舉重物或其他物體等運動會使肩關節過度受力,導致囊炎。肩囊炎的主要癥狀是疼痛和關節腫脹。治療肩關節腫脹的最好方法是用冰袋。在將冰袋放在裸露的皮膚上之前,應該用毛巾包住冰袋。許多肩關節滑囊炎是由重復的頭頂運動引起的,因此應盡可能避免這些情況。
冰袋可用于治療與肩關節滑囊炎相關的關節腫脹。對于側睡的人來說,睡在受影響的肩膀上會加重滑囊炎,因此理想情況下應避免使用。如果休息和結冰不能幫助治愈滑囊炎的疼痛,應尋求醫療幫助。如果肩關節紅腫,應立即尋求專業醫護人員;這通常表明感染。醫生會為感染性肩滑囊炎開抗生素治療醫生也可以進行一些診斷測試,包括血液測試、超聲波掃描或x光檢查。
肩關節x光檢查可幫助指示肩關節滑囊炎的嚴重程度和正確的治療。如果肩滑囊炎仍然很痛,醫生可以通過注射可的松來治療。可的松是腎上腺中天然存在的一種激素。合成的可的松可以通過注射到關節來減輕疼痛和炎癥來用作抗炎藥。由于肩關節滑囊炎是炎癥,而可的松是用來緩解的,注射是肩關節滑囊炎減輕疼痛腫脹的最佳治療方法。
如果三個月后,非手術治療仍未成功,手術治療肩關節滑囊炎可能是最好的治療方法。但是手術治療滑囊炎是很少見的,因為非手術治療通常可以緩解這個問題。一些滑囊炎患者可能會嘗試其他治療方法,如針灸,在考慮手術前,針灸師會在肩部區域插入小針頭,在特定部位施加穩定的壓力,以鼓勵新的血液流入囊袋。在某些情況下,針灸等肩關節滑囊炎的治療可能是最好的選擇,因為它們可以減少炎癥,幫助關節活動流暢。
可能需要醫生進行體格檢查以正確診斷肩部滑囊炎。