重建牙科學是在正常口腔中重建一個人的牙齒、牙齦、下顎或它們的任何組合的做法或過程。它比美容牙科更廣泛,而且通常是在有意識的鎮靜下進行的。整容和重建牙科之間的區別通常由保險公司來界定,因為許多保險公司會為修復或重建斷裂或缺口的牙齒等程序買單,但不會支付牙科美容費用,如化學或激光美白。
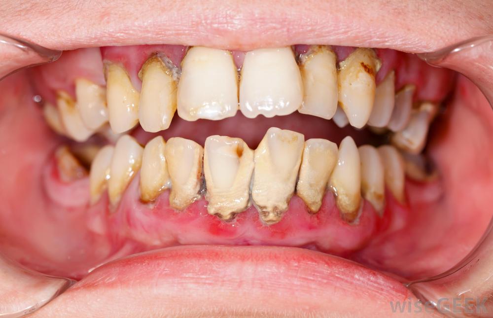
通常需要重建牙科來治療因口腔衛生不良而造成的損害。
需要重建牙科通常是由于意外或遺傳造成的,但往往是口腔衛生不良的結果。這通常是出于美觀的原因,但如果問題干擾了口腔的正常功能,則在醫學上是必要的。有時,由于口腔受傷或遺傳問題,咀嚼或說話受到阻礙。過度擁擠,顳下頜關節(TMJ)疾病、頜骨損傷和其他醫療問題可能需要重建牙科。
在考慮重建牙科之前,有必要咨詢牙醫。
重建牙科可能涉及使用一種復合材料,用于修復或重建橋梁,或在牙齒缺失的地方制造植入物。有時,有必要支撐和防止對完好且功能正常的牙齒造成損害。全口重建是這類牙科中最極端的例子,有時也會被一套假牙所取代
重建牙科通常是在有意識的鎮靜下進行的。
在考慮重建牙科學之前,有必要咨詢合格的牙醫或口腔外科醫生,他們將記錄簡短的病史,檢查您的口腔,并討論你的選擇。專家們一致認為,在進行全口再造之前,應該征求不止一種意見。根據所做的工作的程度,再造手術可能會非常昂貴。一定要咨詢你的保險公司,了解他們會和不包括的內容,另外,請確保您選擇的牙醫擁有精通保險政策的計費人員。許多牙醫能夠為幾乎沒有保險的患者制定付款計劃,因此請務必向您的牙醫咨詢付款政策。
美白程序可能包括在重建過程中計劃,但很少由保險支付。
顳下頜關節紊亂可能需要重建牙科。
在某些情況下,除了廣泛的重建手術外,局部義齒或植入物也是必要的。
重建牙科通常出于美觀的原因進行,但也可能是恢復牙齒或口腔正常功能所必需的。
通常需要重建牙科來治療因口腔衛生不良而造成的損害。需要重建牙科通常是由于意外或遺傳造成的,但往往是口腔衛生不良的結果。這通常是出于美觀的原因,但如果問題干擾了口腔的正常功能,則在醫學上是必要的。有時,由于口腔受傷或遺傳問題,咀嚼或說話受到阻礙。過度擁擠,顳下頜關節(TMJ)疾病、頜骨損傷和其他醫療問題可能需要重建牙科。
在考慮重建牙科之前,有必要咨詢牙醫。重建牙科可能涉及使用一種復合材料,用于修復或重建橋梁,或在牙齒缺失的地方制造植入物。有時,有必要支撐和防止對完好且功能正常的牙齒造成損害。全口重建是這類牙科中最極端的例子,有時也會被一套假牙所取代
重建牙科通常是在有意識的鎮靜下進行的。在考慮重建牙科學之前,有必要咨詢合格的牙醫或口腔外科醫生,他們將記錄簡短的病史,檢查您的口腔,并討論你的選擇。專家們一致認為,在進行全口再造之前,應該征求不止一種意見。根據所做的工作的程度,再造手術可能會非常昂貴。一定要咨詢你的保險公司,了解他們會和不包括的內容,另外,請確保您選擇的牙醫擁有精通保險政策的計費人員。許多牙醫能夠為幾乎沒有保險的患者制定付款計劃,因此請務必向您的牙醫咨詢付款政策。
美白程序可能包括在重建過程中計劃,但很少由保險支付。
顳下頜關節紊亂可能需要重建牙科。
在某些情況下,除了廣泛的重建手術外,局部義齒或植入物也是必要的。
重建牙科通常出于美觀的原因進行,但也可能是恢復牙齒或口腔正常功能所必需的。