bunion手術有很多種。事實上,據估計有100多種。其中一些手術是為了去除骨頭,而另一些則是用來重新排列組織。沒有一種方法在所有情況下都能起到最好的效果。有些外科醫生對同一個人的腳進行不止一種手術。 根據患者的特...
bunion手術有很多種。事實上,據估計有100多種。其中一些手術是為了去除骨頭,而另一些則是用來重新排列組織。沒有一種方法在所有情況下都能起到最好的效果。有些外科醫生對同一個人的腳進行不止一種手術。

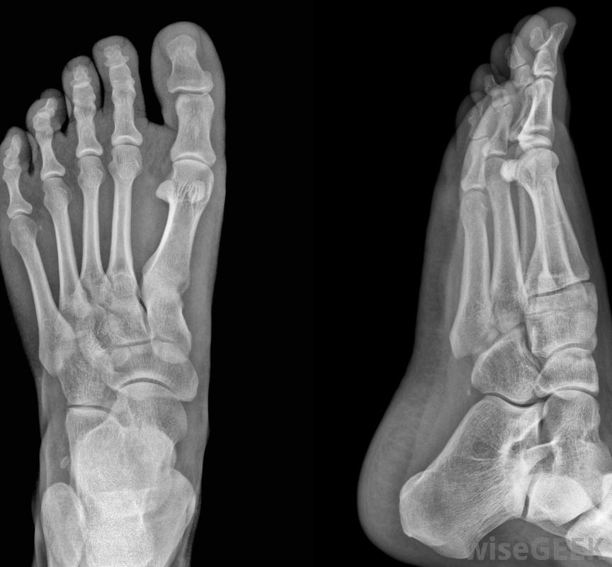
x光片可以用來檢查囊腫。
根據患者的特殊情況,外科醫生可能會發現有必要切除從腳部側面凸出的骨頭塊。這種手術被稱為bunionecution,它可以去除鼓包,但不能固定患者的大關節腳趾。有時外科醫生會從患者的大腳趾上切除整段骨頭。這個過程被稱為截骨術,用于矯正患者的大腳趾或大腳。在這種情況下,外科醫生可能會使用特殊的設備,如螺釘或金屬絲,在愈合過程中保持骨骼的穩定。

穿高跟鞋可能會導致囊腫。
有時外科醫生認為需要在包囊炎手術期間重新調整患者大腳趾周圍的韌帶。進行這種手術是為了調整患者的大腳趾關節周圍的韌帶,這些韌帶已經松動比正常情況下或比正常情況更緊。發生這種情況時,患者的大腳趾會錯位,并向患者其他腳趾的方向移動。重新調整韌帶可以修復移位。

根據手術類型的不同,束神經束手術后的恢復可持續數月。
在某些情況下,可能需要在布尼昂手術中移除患者第一跖骨末端的骨頭跖骨是足部的長骨之一。第一個跖骨與跖趾關節相連,跖趾關節是指人的大腳趾底部的關節。在取出所需數量的骨后,外科醫生將重塑受影響的骨骼,包括大腳趾骨。

患有夜間佩戴特殊夾板可能有助于bunion疼痛。
在某些bunion手術過程中,外科醫生可能會移除患者腳趾關節的一部分,然后將剩下的部分融合在一起。在其他情況下,可以是人工關節或其中的一部分,植入受損關節處。這些人工關節通常是由塑料制成的。

有些外科醫生必須對同一人的腳進行不止一種類型的手術,才能治療小拇趾囊炎。
無論患者進行哪種類型的束神經束手術,他通常會有一個較長的恢復期。有些類型的囊膜炎手術涉及更多的人的軟組織或骨組織,需要更長的愈合時間。根據不同的類型,這種手術,一個病人可能需要6周的恢復時間,而其他病人則需要長達6個月的時間才能完全痊愈。

手術刀是一種小而鋒利的刀,在手術中用來做切口。

有幾十種可能的手術來切除小兔子囊。