萬古霉素是一種能殺死多種細菌病原體的抗生素。這種藥物的一個可能的副作用是一系列稱為雷德曼綜合征的癥狀,這是由于抗生素干擾免疫系統細胞而發生的過敏反應。 萬古霉素和雷德曼綜合征的癥狀可能包括頭痛。 由于許多...
萬古霉素是一種能殺死多種細菌病原體的抗生素。這種藥物的一個可能的副作用是一系列稱為雷德曼綜合征的癥狀,這是由于抗生素干擾免疫系統細胞而發生的過敏反應。

萬古霉素和雷德曼綜合征的癥狀可能包括頭痛。
由于許多嚴重感染尚未對萬古霉素產生耐藥性,因此該藥通常對細菌感染患者有用,這些細菌感染對其他藥物有抗藥性。然而,萬古霉素可能有兩種主要的免疫系統副作用。更嚴重的是過敏反應,由于面部和喉嚨組織腫脹,會導致呼吸困難。如果是萬古霉素和雷德曼綜合征,癥狀可能較輕,不會危及生命。

患有萬古霉素和雷德曼綜合征的人可能會出現血壓下降。
萬古霉素和雷德曼會出現問題當醫生將抗生素注入病人靜脈時的綜合征。萬古霉素和雷德曼綜合征的癥狀在皮膚上最明顯。會出現紅色和發癢的皮疹,但這與皮膚的輕微發紅一樣微不足道。頭暈,流感樣的發燒和頭痛也會發生。一些患有萬古霉素和雷德曼綜合征的人也會出現血壓下降或胸痛。

過敏反應可能導致呼吸喉嚨組織腫大引起的困難
免疫系統的某些成分導致這些癥狀。肥大細胞和嗜堿性粒細胞含有一種叫做組胺的物質的儲存顆粒。組胺是免疫系統的信號分子之一,萬古霉素作用于這些細胞釋放儲存在細胞內的組胺。

萬古霉素可用于治療結腸炎腸道。
血液循環中組胺水平異常高會導致與雷德曼綜合征相關的癥狀。皮疹和瘙癢是免疫系統不必要的激活。實際上,醫生可能會在萬古霉素治療之前給患者服用抗組胺藥,以達到預期的免疫效果系統激活。

服用萬古霉素的風險可能包括肝損傷。
只有一些人會出現雷德曼綜合征,而其他人則不然。科學家認為這是由于個體患者之間的遺傳差異。例如,人體內的某些酶會自然分解組胺。有兩種酶起作用,分別是組胺N-甲基轉酶和二胺氧化酶。不同的人產生的這些酶的版本略有不同,即可能會有不同的效率,這可能是某些人沒有雷德曼綜合征而另一些人卻發展為雷德曼綜合征的一個解釋。

服用抗生素后出現過敏反應癥狀的人需要立即就醫。
除了潛在的遺傳原因外,其他抗生素也可以與萬古霉素聯合使用,增加患雷德曼綜合征的風險這些抗生素的例子,醫生可以與萬古霉素一起使用,包括環丙沙星和兩性霉素。某些止痛藥和放松肌肉的藥物也會使該綜合征更容易發生。

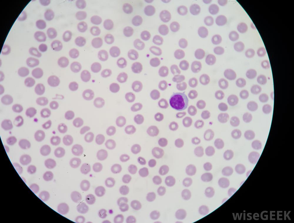
嗜堿性粒細胞,它們會在血液涂片上染上深紫色,含有可能因萬古霉素而釋放的組胺。