多普勒雷達是一種利用微波來"聽到"物理變化的監聽設備。微波根據物體與多普勒雷達的相對位置在不同時間反射物體。根據波的反彈速度,可以創建精確的圖像。它通常用于空中交通管制、警察速度控制槍,和放射學有關。通常與...
                    
                    
                        多普勒雷達是一種利用微波來"聽到"物理變化的監聽設備。微波根據物體與多普勒雷達的相對位置在不同時間反射物體。根據波的反彈速度,可以創建精確的圖像。它通常用于空中交通管制、警察速度控制槍,和放射學有關。通常與氣象學有關,脈沖多普勒可以測量距離和速度。

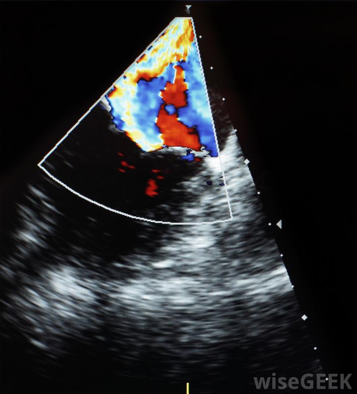
醫用多普勒設備使用高頻聲波監測內臟。
這項技術是基于關于多普勒效應。利用這門科學,如果一個靜止的物體正在向一個移動的物體發射微波,波的速度會隨著移動物體的位置的變化而變化。例如,如果微波聚焦于一個向雷達走去的人,這些波會隨著他走近而變得更高和更頻繁這是因為物體和雷達之間的距離較短,波的傳播空間較小。

氣象學家使用多普勒雷達跟蹤預測天氣模式。
反之亦然,這意味著如果移動目標離開微波源,隨著兩者之間距離的增加,波會變長變短,這些微波可能會變得很長,看起來很平。為了從這些微波中產生圖像,必須保持雷達和目標之間的持續通信。此通信需要連續的波輸出和輸入。

雷達用于測量棒球場的投球速度游戲
多普勒成像有許多物理用途。在空中交通管制中,波被用來觀察飛機在空中的位置。恒定的波通信流可以被個人計算機解釋為運動圖像。空中交通管制員將空中的飛機視為其物理特性的運動表示位置,實時性稍有延遲。

多普勒雷達可以幫助氣象學家預測冬季風暴。
警察也使用多普勒雷達。雷達槍向移動物體發射無線電波。這些波浪像汽車一樣撞擊物體并反彈,但不是提供物體的位置,而是測量物體的速度。雷達炮也可用于體育運動,計時跑步者和棒球的速度。

氣象學家使用天氣多普勒雷達有助于定位和預報風暴。
醫學領域使用數字多普勒來拯救生命。在這種情況下,電磁波被用來給醫生一個身體內部的視覺表現,而不切割皮膚。這些波可以產生二維或三維視圖指體內的器官或異物。妊娠超聲利用二維和三維多普勒給父母和產科醫生一張嬰兒的第一張照片。
隨著技術的進步,多普勒成像的科學——脈沖多普勒——誕生了。脈沖多普勒雷達能夠測量物體的位置和速度。在氣象學方面,波從云層上反射出來測量其密度、位置,以及速度。

妊娠超聲使用二維和三維多普勒給父母和產科醫生一個嬰兒';的第一張照片。