首字母縮略詞PICC代表外周插入中心導管。這是一種細長的導管,通常插入位于上臂的靜脈中。然后導管向前推進,直到尖端在靠近心臟的胸部的靜脈中終止。PICC線用于靜脈輸液和藥物的管理。 在使用PICC之前,將進行胸部X光檢查...
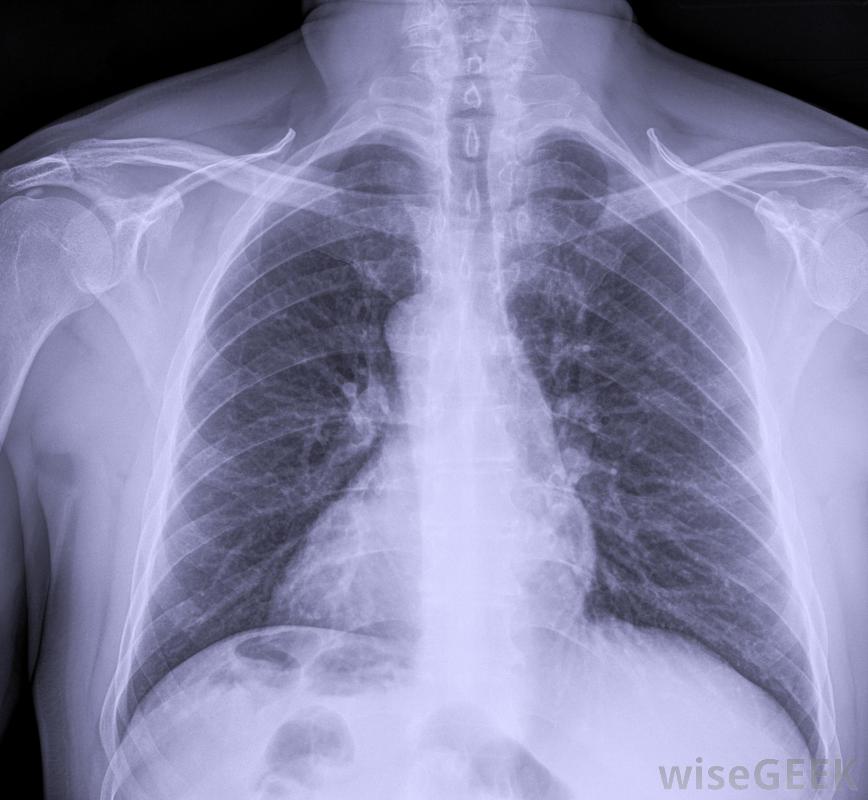
首字母縮略詞PICC代表外周插入中心導管。這是一種細長的導管,通常插入位于上臂的靜脈內。然后將導管推進,直到尖端在靠近心臟的胸部靜脈中終止。PICC線用于靜脈輸液和藥物的管理。

將進行胸部X光檢查,以確保PICC管線正確放置在使用前,
這些類型的靜脈輸液管可以由受過專門訓練的護士、放射科醫生或醫師助理插入。此操作通常在無菌條件下在床邊進行。在放置PICC線后,超聲波用于顯示上臂的大靜脈放置,在使用該線之前,應進行胸部x光檢查以確認放置位置是否正確。

PICC線既可用于服用抗生素,也可用于抽血。
患者需要PICC線的原因有很多,有些患者可能需要長期使用化療或抗生素。這些外周插入的中心導管可在原位停留數月,這使其成為長期使用的理想選擇。

醫生可以插入PICC線路;這是一種通過靜脈給身體提供所需的維生素和營養的方法。高營養素通常用于腸道疾病和不能進食的人許多情況下,對高營養素的需求將持續數月

高營養是患者可能需要PICC線路的原因之一,通常用于腸道疾病患者。
這種外周插入的中心導管也可用于有出血障礙的患者。這些患者通常需要長期服用血液或血液制品。這些輸液可以通過PICC線輕松地進行。另一種這種中心導管的優點是能夠從管道中抽取血液。這將避免患者多次被卡在血樣中。

PICC管路用于靜脈輸液。
與任何類型的侵入性操作一樣,插入這種類型的線有風險。插入時可能發生空氣栓塞,這可能導致患者頭暈和呼吸短促。感染是一種風險,因為皮膚上有一個細菌進入的開口。插入時可能會造成神經損傷或刺激;這可能會導致槍擊手臂疼痛或四肢無力。

有些端口完全位于皮膚下,當導管尖端在心臟上方終止。
使用外周插入的中心導管,血栓或血凝塊的形成可能性很小。這種血凝塊可以在導管內形成,也可以在靜脈內形成。如果導管堵塞,護士可以在導管內注射一種特殊的藥物有助于溶解血塊。一旦溶解,管道應易于沖洗。

超聲波機用于顯示PICC管線上臂的大靜脈
一旦對PICC線路的需求結束,就可以很容易地將其拆除。這可以由護士或其他經過適當培訓的醫療人員來完成。一旦拆除了PICC線路,測量長度以與插入長度進行比較。這將確認所有的線都被移除。

在某些患者中,由于血液凝塊或手臂靜脈的問題,PICC線可能被放置在胸部。