起搏器導線,也叫導線,是一根細線,一端與設備的發電機相連,另一端與心臟相連。每個起搏器可能有兩條或兩條以上的導線連接到右心房和右心室,有時還連接到左心室。導線的一端有一個電極,電極與心臟相連,以獲取心臟的自然電脈沖...
起搏器導線,也叫導線,是一根細線,一端與設備的發電機相連,另一端與心臟相連。每個起搏器可能有兩條或兩條以上的導線連接到右心房和右心室,有時還連接到左心室。導線的一端有一個電極,電極與心臟相連,以獲取心臟的自然電脈沖并將這些信息發送回發生器。

心律失常的患者可能需要起搏器的幫助。
用于將發電機連接到右心室的電線。第二根電線連接右心室和心房,第三根電線連接發電機與左心室和右心室以及右心房。使用的類型取決于患者的情況以及理想的起搏器類型。

起搏器可永久監測心房和心室的心臟節律。
起搏器導線有幾種形式,盡管大多數是金屬制成的,并且具有某種絕緣涂層。有些采用螺旋式設計,另一些則在一端有小尖頭連接到機身上。電線可以是直的,也可以是窄的,或者采用"J"形或類似形狀,以便更有效地插入心房。許多起搏器使用組合導線連接心臟的各個區域。
具有旋入機制的導線在植入后能夠很快保持原位。然而,那些帶有尖頭的起搏器,通常更準確地指出心臟不規則帶有螺釘裝置的電線更常見,但醫生將最終判斷每個患者需要哪種類型的起搏器導線。
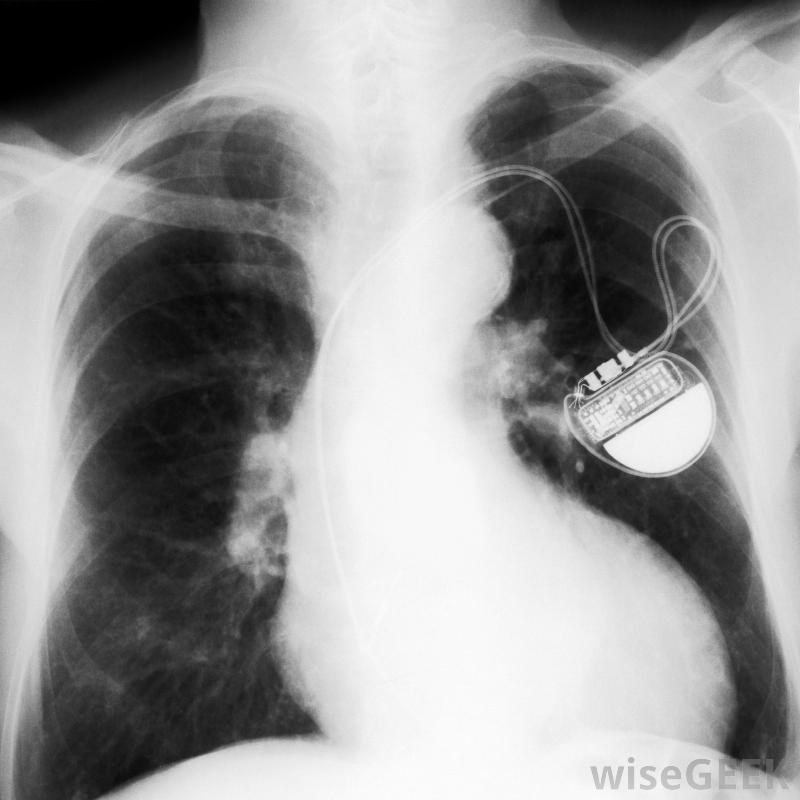
放置過程中,起搏器導線插入胸部左上方的靜脈,與放置發生器的區域相同。醫生通常使用熒光鏡,這是一種X光片,當電線穿過靜脈并進入心臟的適當位置時,可以觀察這些電線。這通常被認為是一個小手術,而且病人通常不需要全身麻醉。手術通常在診所或醫生辦公室進行。
起搏器導線故障的情況非常罕見,因為它們的設計相對簡單。更常見的情況是,起搏器口袋可能發生感染,而且整個系統都會被更換。很少有特定型號的起搏器或導線會因為設計或功能錯誤而被召回。偶爾需要向醫生咨詢以確保設備正常工作。當電池電量不足時,每五到十年更換一次起搏器。