撞擊性骨折,當一塊骨頭碎裂,碎片被打入其他骨塊,可能是相當嚴重的,一旦確定損傷程度,應迅速治療,以避免進一步的問題。如果損傷不太嚴重,石膏、夾板或吊索可能足以將受傷的骨頭固定在適當的位置,以便愈合是的。更大范圍的骨折...
撞擊性骨折,當一塊骨頭碎裂,碎片被打入其他骨塊,可能是相當嚴重的,一旦確定損傷程度,應迅速治療,以避免進一步的問題。如果損傷不太嚴重,石膏、夾板或吊索可能足以將受傷的骨頭固定在適當的位置,以便愈合是的。更大范圍的骨折伴有多個骨碎片,可能需要手術將其復位,可能需要螺釘或銷釘之類的硬件將其固定。由于此類骨折通常非常痛苦,在愈合過程中可能需要藥物來控制它。

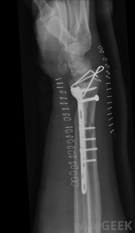
嚴重的撞擊骨折通常需要使用鋼板,用桿和螺釘將骨重新對齊。
如果撞擊骨折只涉及少量骨碎片,且損傷不太嚴重,固定可能足以治療。醫生通常會使用X光、MRI,或者CT掃描看看骨折有多嚴重以及碎片在哪里。較輕的骨折可以用夾板、吊索或石膏固定在適當的位置,以保持受影響區域的不動。這樣可以防止骨頭的末端互相摩擦或進一步深入,使骨頭愈合。可能有必要在相當長的一段時間內盡量減少受傷區域的移動,即使在取出石膏或夾板之后,由于阻生骨折通常愈合得很慢。

阻生骨折在完全愈合之前會嚴重限制活動性,尤其是老年人。
當阻生骨折涉及大量骨碎片時,可能需要手術嚴重粉碎的骨頭通常需要重建以避免進一步的損傷和正確的愈合。外科植入物,如金屬螺絲釘、金屬棒或金屬針也可能被用來保持骨頭的正確連接。手術后,受影響的區域可能需要一段時間的石膏或吊索,以限制活動,并使碎片重新團聚。

X光片將顯示骨骼骨折的嚴重程度。
骨折的嚴重程度通常與阻生性骨折有關,但這種情況通常會給患者帶來相當大的疼痛。盡管疼痛程度因人而異,并且隨著損傷程度的不同,但疼痛程度往往是難以忍受的。為了控制這種程度的疼痛,醫生可以建議使用止痛藥。止痛藥的類型可能取決于患者的不適程度;非處方藥如非甾體抗炎藥對某些患者可能已經足夠了,而其他人可能需要處方。

術后,受影響區域可能需要一段時間的石膏或吊索,以使骨碎片重新團聚。

可能需要CT掃描來確定撞擊骨折的嚴重程度。

撞擊骨折的治療可能需要手術。

骨折手術后多吃水果和蔬菜很重要。