核磁共振成像(MRI)是核磁共振成像的簡稱,機器使用高功率的磁鐵來產生令人難以置信的詳細的身體圖像。一個強大的主磁鐵產生的磁場比地球發出的磁場強得多。強烈的磁場使我們身體中豐富的氫原子排列起來均勻地沿著磁場的...
核磁共振成像(MRI)是核磁共振成像的簡稱,機器使用高功率的磁鐵來產生令人難以置信的詳細的身體圖像。一個強大的主磁鐵產生的磁場比地球發出的磁場強得多。強烈的磁場使我們身體中豐富的氫原子排列起來均勻地沿著磁場的邊緣。然后,較小的梯度磁鐵以外科手術的精度脈動磁場,使氫原子分散,并使它們朝不同的方向旋轉。當主磁場將氫原子拉回到其均勻的形成、運動和交替的旋轉方向時釋放能量,稱為共振,可以借助于射頻轉換成圖像。

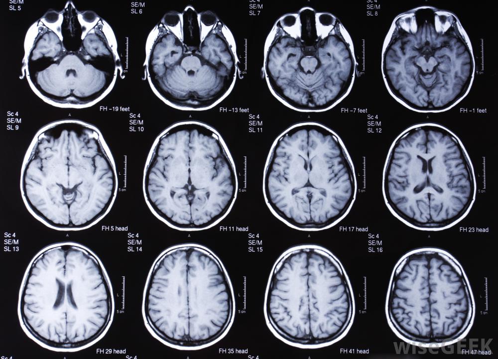
腦部的核磁共振掃描。
核磁共振機是管狀的,有一個足夠大的開口可以讓人進去。由磁場解釋的圖像極易受到運動造成的失真的影響。因此,在掃描過程中,病人必須盡可能保持接近完全靜止。對一些人來說,這可能是相當困難和不舒服的,因為它可以掃描過程需要一個小時或更長時間。由于各種磁鐵的旋轉,掃描過程也相當響亮。為了幫助患者在沒有聽到可怕的笨重聲音的情況下打發時間,醫生通常允許病人帶耳機聽音樂。

核磁共振技術人員經常從相鄰房間觀察手術過程。
使用各種初級磁鐵產生大磁場超導磁體由線圈和電線組成,是使用中最強大的一次磁鐵之一。當電通過電線時,它們會產生超導電性,從而產生相當大的磁場。然而,如果電線保持在極低的溫度(低于零度),超導磁體才起作用使用液氦。

核磁共振成像機使用磁場和無線電波來創建內部器官和骨骼結構的圖像。
一些核磁共振掃描儀使用相同的一組帶電的線圈和電線,如用于超導磁體的線圈和電線,但沒有液氦來保持其冷卻。這樣,線圈和電線就產生了一個電阻性磁鐵,而不是超導磁體。沒有液氦的冷卻作用,超導電性就無法實現;相反,更大的電流被用來產生一個稍弱但仍然有效的磁場。另一種可能用于核磁共振掃描的主磁體是一個永磁體。永磁體實際上是一個不斷釋放磁場的巨大磁體。由于它們的大小和壓碎的重量,它們不是磁共振成像設備中最受歡迎的磁鐵。

磁共振成像設備。
梯度磁鐵能夠完全圍繞人的身體旋轉。梯度磁鐵產生的較小磁場能夠以驚人的精度和清晰度精確定位身體需要掃描的部位。這些磁鐵與發射射頻的線圈和電線一起工作,射頻也會影響氫原子,從而能夠收集身體各個部位的詳細讀數磁場和無線電頻率的結合使得專家能夠從任何角度掃描人體的"切片",提供對身體內部狀況的無與倫比的觀察。

醫療專業人員使用核磁共振儀診斷內部疾病。
盡管核磁共振掃描在許多方面都優于對于其他的掃描方法來說,操作核磁共振成像機的單調乏味并不是檢測大多數損傷的必要條件。例如,骨折通常在X光片上表現得很清楚,而X光片的操作要簡單得多,而且成本也要低得多。然而,X光片不能很好地捕捉到的是軟組織圖像。對于這些,核磁共振成像機是最受歡迎的圖像掃描方法。
核磁共振成像儀能夠提供人體任何部位軟組織的詳細圖像。這使其成為檢測軟組織狀況(如腦出血、乳腺癌和韌帶損傷)的理想設備。核磁共振成像儀的另一個優點是它們不會發出任何輻射。盡管X射線等掃描方法產生的輻射并沒有被證明是有害的,它通常能讓病人安心,讓他們知道自己不會受到任何輻射。
由于核磁共振儀產生的強大磁場,他們必須在嚴密的監督下小心操作,必須采取一定的預防措施以防止受傷。接受核磁共振掃描的病人身上不能有任何金屬物體,他們必須揭示是否曾有任何金屬物體通過外科手術插入到他們的身體中。即使是裝有核磁共振機的房間在機器運行時也必須沒有松動的金屬物體在使用中,磁場被認為能從相當大的半徑吸引物體

腦MRIs對研究者和醫生都很重要。