軟組織移植是一種牙科手術,可以為牙齦退縮的人進行。組織取自口腔的另一個區域,然后敷在暴露的牙根上。這個程序可以在牙齦線需要加強的所有區域進行。 軟組織移植可以在牙齦的任何部分進行。 問題。牙齒可能會變得松動...
軟組織移植是一種牙科手術,可以為牙齦退縮的人進行。組織取自口腔的另一個區域,然后敷在暴露的牙根上。這個程序可以在牙齦線需要加強的所有區域進行。

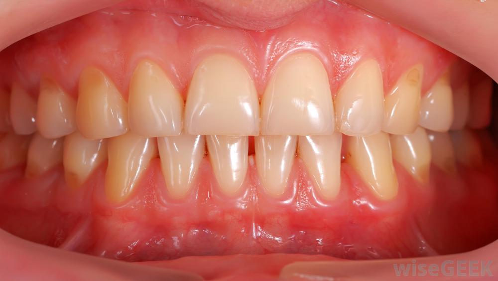
軟組織移植可以在牙齦的任何部分進行。
問題。牙齒可能會變得松動和敏感,嚴重的情況下甚至會在失去保護層的區域周圍出現骨質流失。這可能是由多種原因造成的,包括刷牙太用力,牙齦組織自然變薄,或者牙周炎等牙周疾病。軟組織移植可以幫助修復損傷并阻止進一步衰退,無論什么原因。

飲食失調如暴食癥可能導致牙齦萎縮,需要軟組織移植。
有幾種不同類型的軟組織移植,都是通過組織的來源來確定的,以便修復牙齦。在結締組織移植中,將組織從個體口腔頂部取出,將口腔表層剝離,從下方切下結締組織,然后貼在牙齦線上并固定到位。另外,有時也可以使用口腔頂部的表層組織;這被稱為游離牙齦移植。

過度或劇烈刷牙會導致牙齦退縮
在某些情況下,可能只有一顆牙齒附近出現牙齦線退行的情況。這可能意味著可以從附近的牙齒上取下組織并將其分離,覆蓋原牙的根部和受損的牙齦組織。稱為椎弓根移植物,這是一種最不常見但最成功的方法,因為牙齦和組織之間的連接保持完好,如果口腔中沒有足夠的組織覆蓋暴露的牙齒,也可以選擇使用合成組織;這種類型的軟組織移植通常是最后的手段。

軟組織移植后通常會使用保護性密封,以保持牙齒衛生。
軟組織移植需要數周時間才能完全愈合。由于口腔是一個經常潮濕的區域,因此通常會在移植部位和切除軟組織的區域蓋上保護性封條。牙齒衛生通常可以照常進行,如果這種情況是由于刷牙太硬而造成的,醫學專業人員通常會給出如何防止衰退再次發生的個別指導方針。如果是這樣,通常可以多次進行軟組織移植。

牙齦可能消退做軟組織移植的理由。