肋軟骨炎的治療主要包括消炎藥和止痛藥,其中許多不用處方就可以買到。通常,這種情況下的疼痛會在沒有額外治療的情況下消失,因此,休息有時是所有的處方。一些醫生也可能會開一種肌肉松弛劑治療肋軟骨炎,或者建議在出現疼痛...
肋軟骨炎的治療主要包括消炎藥和止痛藥,其中許多不用處方就可以買到。通常,這種情況下的疼痛會在沒有額外治療的情況下消失,因此,休息有時是唯一的處方。一些醫生也可能會開一種肌肉松弛劑來治療肋軟骨炎,或者建議只要有疼痛就在胸前敷上一塊加熱墊。

肋軟骨炎是肋骨和胸骨之間軟骨的炎癥。
肋骨軟骨炎的治療方式也可能取決于病因。肋骨軟骨炎引起的胸痛可歸因于胸腔內肋軟骨關節的炎癥。雖然這并不嚴重或危及生命,但它非常痛苦,醫生也不確定是什么原因引起的雖然經常懷疑某種形式的關節炎,但在某些情況下,肋軟骨炎可能是由上呼吸道感染或損傷引起的。如果癥狀是由這兩種情況引起的,則肋軟骨炎的治療也包括對感染或損傷的治療。

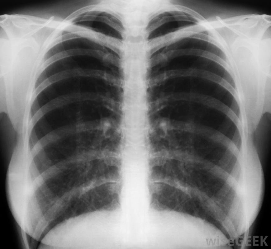
如果懷疑肺部感染或其他損傷,可要求進行胸部x光檢查。
大多數醫生建議服用布洛芬,這是一種可以在柜臺購買的消炎止痛藥。專家建議,這只能作為一種治療方法使用,在進行檢查以確定肋骨軟骨炎是否是導致胸痛的原因后,健康專家不建議嘗試自我診斷這種疼痛,也不建議在進行徹底檢查之前進行特定的肋軟骨炎治療
在確定肋軟骨炎治療方法之前,醫生會在按壓肋軟骨關節及其周圍的同時檢查胸部。如果患者在檢查期間報告該區域疼痛或酸痛,醫生通常會診斷這種疼痛是由這種情況引起的。通常只有在檢查之后,才建議對這種情況進行各種治療。
如果懷疑有其他疾病,例如肺部感染,或者如果最近有明顯的損傷,醫生可能會提供進一步的檢查,這可能包括胸部x光檢查。當疼痛歸因于這些情況之一時,肋軟骨炎的治療也將包括治療根本原因。在某些情況下,醫生會建議對胸部進行熱敷或冷敷,以減輕疼痛。
在大多數情況下,肋軟骨炎的治療是非常少的。許多人發現疼痛和炎癥在休息幾天后會自然消失。對一些人來說,癥狀只出現在劇烈運動期間,運動停止后不久就會消退。在這些情況下,治療肋軟骨炎的止痛藥可能會幫助那些希望繼續這樣做的人盡管疼痛也要鍛煉。

肋軟骨炎通常會導致胸痛。