小腳趾酸痛會使一些簡單的活動,如跑步、散步,甚至穿鞋等變得非常不舒服。為了有效地治療小腳趾疼痛,人們必須首先確定他或她的疾病的原因。腳趾酸痛可能是由于過緊的鞋子過度摩擦而導致的,導致水泡或玉米粒。一個小包子是...
小腳趾酸痛會使一些簡單的活動,如跑步、散步,甚至穿鞋等變得非常不舒服。為了有效地治療小腳趾疼痛,人們必須首先確定他或她的疾病的原因。腳趾酸痛可能是由于過緊的鞋子過度摩擦而導致的,導致水泡或玉米粒。一個小包子是更大的骨骼生長不規則導致小趾向內的嚴重情況。在小趾上掉東西或走路不穩都會導致真正的骨折,通常需要醫生檢查和治療。

冰袋可用于治療腳趾疼痛。
水皰在頻繁活動或穿著的人中很常見。
不合腳的鞋子。壓力和摩擦會導致皮膚裂開,導致刺激和壓痛。個人通常可以通過清洗水泡部位、使用非處方抗生素軟膏來治療由水泡引起的小腳趾疼痛,用繃帶包扎腳趾。穿舒適的鞋,盡量避免活動,大多數水泡會在一到兩周內消失。

如果小腳趾上的玉米粒很大或很痛,足部醫生可以將其去除。
摩擦和壓力也會導致玉米粒,一種觸感柔軟的粗糙皮膚。玉米粒通常表現為腳趾側面隆起的腫塊,當它與鞋或襪子摩擦時會很痛。嬌嫩的玉米可以用與水皰差不多的方式進行治療,通過使用抗生素和避免穿緊身鞋,特別是大的或疼痛的雞眼可以由有執照的足病醫師手術切除

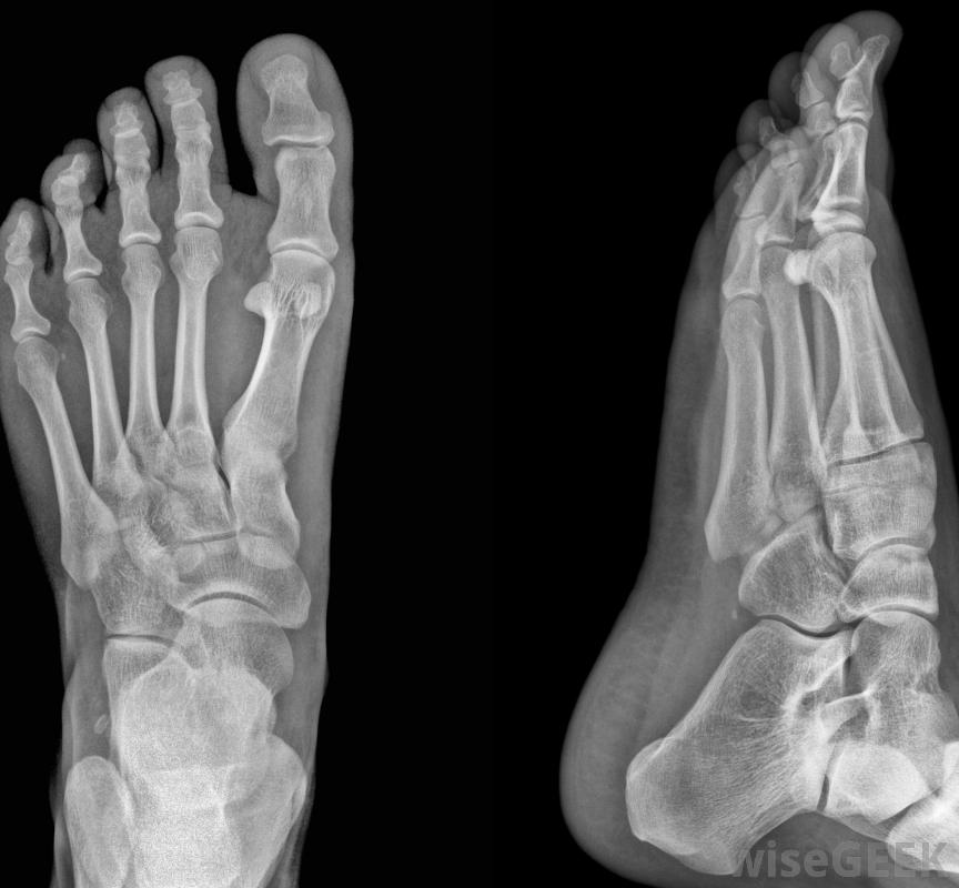
足部x光片可用于確認腳趾骨折。
當小腳趾中的骨頭因變形或持續壓力而向外突出時,會出現裁縫的小包囊或丁腈橡膠腳趾頭周圍貼一點發炎的繃帶,可以緩解腳趾頭周圍的發炎性疼痛,也可以緩解腳趾頭周圍的疼痛其他類型的腳趾痛,穿著合適的鞋子對裁縫的包囊炎完全愈合很重要。

斷了的腳趾會非常痛苦和虛弱。為了立即治療小腳趾與休息有關的疼痛,一個人可以把冰塊敷在鄰近的腳趾上。盡快就醫是很重要的,以確保腳趾能正常愈合。普通醫生或足病醫生可以通過手動矯正腳趾并用保護繃帶包裹它來治療小腳趾疼痛。愈合時間可根據嚴重程度而變化休息,但大多數人可以在兩個月后恢復正常活動。

可能需要去看足科醫生。