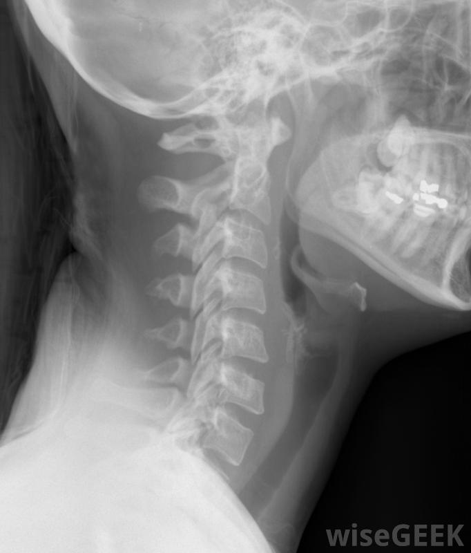
頸椎椎板切除術,有時也被稱為頸椎后路椎板切除術,是對頸椎進行的幾種可能的手術之一。頸椎由脊柱區域的七個椎板組成。這種手術允許外科醫生切除部分椎板椎板切除術是為了減輕對脊髓和周圍神經的壓力如果脊髓受壓,這通常...
頸椎椎板切除術,有時也被稱為頸椎后路椎板切除術,是對頸椎進行的幾種可能的手術之一。頸椎由脊柱區域的七個椎板組成。這種手術允許外科醫生切除部分椎板椎板切除術是為了減輕對脊髓和周圍神經的壓力如果脊髓受壓,這通常是由于年齡增長而導致的,則可以進行脊髓手術。接受這種手術的病人經常因為持續的頸部疼痛而去看醫生。他們也可能會感到手臂以下刺痛或麻木,發燒,或者失去協調性。在考慮手術之前,患者應該先嘗試更保守的治療方法。這些方法可能包括臥床休息、物理治療,椎板切開術是為了減輕脊髓的壓力如果保守治療方法失敗,患者應與醫生仔細討論手術。頸椎椎板切除術的準備工作將在手術前兩周開始。患者應向外科醫生披露所有藥物和其他醫療狀況有些藥物可能會增加出血的風險,因此外科醫生可能會建議患者在手術前停止服用如果病人正在服用止痛藥治療頸部疼痛,他可能需要在手術前減少劑量或停止服用。這可以提高患者在手術后恢復期間服用止痛藥的有效性。吸煙患者需要在手術前至少24小時內禁煙。這是為了讓患者做好麻醉準備。此外,手術前一晚午夜后,患者將無法進食或飲水。

頸椎椎板切除術是對頸椎進行的幾種可能的手術之一在開始頸椎椎板切除術時,外科醫生首先要在脊椎上切開一個切口,然后用x光片確認每一個椎體的正確性,然后醫生可以取出椎板,以及任何可能壓迫神經的骨刺或其他外來物質。在某些情況下,外科醫生會在椎板上切開并折疊起來,而不是完全切除。在去除所有必要的材料后,外科醫生可以將切口縫合在一起在頸椎椎板切除術后恢復過程中,患者可能需要佩戴頸托。這將在該區域愈合時保持頭部靜止。具體所需的恢復時間因患者而異。外科醫生會建議患者何時可以恢復工作和其他正常活動。有些患者可能會進行身體鍛煉手術后的治療。如果手術中出現任何并發癥,患者可能需要額外的治療。頸椎椎板切除術的一些可能的并發癥包括感染、出血,病人在手術前應仔細考慮是否有脊髓損傷或神經損傷的獨特情況。有時也要注意病人是否有脊髓損傷或神經損傷進行頸椎椎板切除術。

持續的頸部疼痛可能是頸椎椎板切除術的原因。