腦震蕩有兩種基本的治療方法:家庭治療和醫療治療。在家里,你通常可以用冰敷治腦震蕩,這可能有助于緩解腫脹和不適。你也可以使用非處方藥(OTC)來止痛,多休息,多喝水。就醫療而言,醫生可能會給你做檢查,檢查你受傷的程度。在大...
腦震蕩有兩種基本的治療方法:家庭治療和醫療治療。在家里,你通常可以用冰敷治腦震蕩,這可能有助于緩解腫脹和不適。你也可以使用非處方藥(OTC)來止痛,多休息,多喝水。就醫療而言,醫生可能會給你做檢查,檢查你受傷的程度。在大多數情況下,他會建議你在家里使用同樣的治療方法,例如休息和非處方止痛藥。

如果運動員被懷疑有腦震蕩,他們應該立即離開賽場。
休息通常是腦震蕩最重要的治療方法。腦震蕩后,通常建議患者避免體力消耗。患有這種情況的人可能會認為腦震蕩后繼續進行常規的精神活動是可以的,但是通常情況并非如此。醫生經常建議減少需要精神消耗的活動。例如,醫生可能會建議患者暫時減少學業或工作負擔。事實上,醫生甚至可能建議患者減少看電視和玩電子游戲。

腦震蕩治療也可能包括使用止痛藥。通常,腦震蕩與頭痛有關,使用止痛藥可以幫助病人在康復過程中感覺更舒服。雖然許多不同的非處方藥對其他類型的情況可能有用,但醫生經常建議病人選擇對乙酰氨基酚來治療這種類型的頭痛疼痛這是因為其他止痛藥,如阿司匹林和布洛芬與出血增加有關,這可能是腦震蕩后的問題。

頭部受到打擊后,它&&039;服用非處方止痛藥和大量喝水是個好主意。
如果某人受傷部位有瘀傷,在腦震蕩后使用冰塊可以幫助減輕腫脹。大多數情況下,最好用毛巾或其他材料包住冰,而不是直接把冰敷在病人的皮膚上。個人可能會發現這種治療方法在受傷后立即使用最有幫助,之后每隔兩小時敷20分鐘。通常,這種腦震蕩治療的好處最大在受傷后的第一天。
如果患者除了在家自理之外還尋求醫療治療,醫生可能會對他進行檢查,并進行測試,以確定他的受傷程度。如果他有傷口或瘀傷,醫生也可以對其進行治療。在這些步驟之后,腦震蕩的醫療治療通常與自理治療方法大致相同,包括休息和止痛。
腦震蕩治療通常包括監測患者行為和狀況的變化。在許多情況下,這種監測可以在患者家中進行。但是,在某些情況下,患者的傷勢已經足夠嚴重,必須住院監護。

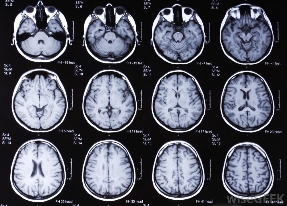
腦部核磁共振掃描可幫助確定腦震蕩的嚴重程度。