冠狀病毒屬冠狀病毒科,是一類與普通感冒和其他更嚴重的疾病有關的動物病毒,如肺炎和嚴重急性呼吸綜合征(SARS)。由于變異,某些冠狀病毒具有極強的傳染性和潛在的致命性為了進一步診斷病毒的嚴重性,需要對其進行進一步的研究...
冠狀病毒屬冠狀病毒科,是一類與普通感冒和其他更嚴重的疾病有關的動物病毒,如肺炎和嚴重急性呼吸綜合征(SARS)。由于變異,某些冠狀病毒具有極強的傳染性和潛在的致命性為了進一步診斷病毒的嚴重性,需要對其進行進一步的研究以幫助其進一步診斷宿主。冠狀病毒由蛋白質組成,其結構由尖峰、核衣殼、包膜和膜組成。糖蛋白的存在促進了病毒與宿主細胞結合并發生變異的能力。有人認為病毒的變異能力使其具有傳染性。再感染是另一個原因兒童呼吸道感染與病毒性支氣管炎相關冬季月份。
當冠狀病毒在冬季和早春活躍時,它被認為是導致大多數普通感冒病例的罪魁禍首。這種病毒變異和再感染的能力在寒冷季節最為明顯,那時感冒患者病情可能好轉,然后再感染第二次和第三次同樣的感冒。認真防止病菌傳播對于打破普通感冒的潛在周期性至關重要。

嚴重的冠狀病毒患者可以使用氧氣
人類冠狀病毒(HCoV)是冠狀病毒家族中的一個次級病毒群。研究表明,HCoV在呼吸道疾病的發展中起著重要作用。HCoV被證明是引起支氣管炎、細支氣管炎和肺炎等疾病的唯一原因。

發燒是人類冠狀病毒引起的呼吸道疾病的常見癥狀。
,毛細支氣管炎是支氣管內膜的炎癥,細支氣管炎是細支氣管或肺部小通道的炎癥。這種病毒感染在秋季和冬季會影響兒童和嬰兒。雖然通常不需要治療,但在孩子病情嚴重的情況下,可以服用抗病毒藥物。患有毛細支氣管炎的兒童可能會出現發燒、喘息或呼吸急促的癥狀。通常通過檢測患兒的鼻液和進行胸部x光檢查來確認診斷。
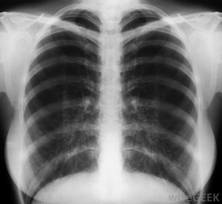
與其他呼吸系統疾病一樣,肺炎是由肺部炎癥引起的。呼吸急促、發熱和咳嗽等癥狀都可以作為肺炎的征兆。診斷可通過多種檢查來進行,包括全血細胞計數(CBC)、胸部CT掃描和痰培養試驗,嚴重咳嗽時排出的粘液樣物質。一些肺炎需要住院治療,而較輕的病例可能只需要使用抗生素。
嚴重急性呼吸綜合征(SARS)是一種嚴重的肺炎,可導致急性呼吸窘迫。可能致命,SARS是一種傳染性很強的疾病,2003年初,世界衛生組織(WHO)的一位醫生首次描述了這種疾病,后來他死于這種疾病患有非典型肺炎的人咳嗽或打噴嚏時會向空氣中釋放污染物。這些被污染的飛沫是主要的傳播媒介。在接觸到病人或受污染的物體后的兩到十天內,癥狀就會顯現出來。
SARS患者可能會出現嘔吐等癥狀,腹瀉、流鼻涕和喉嚨痛。用于診斷SARS的檢查包括胸部CT掃描、全血細胞計數(CBC)和胸部x光片。SARS的治療包括隔離住院、使用抗生素和抗病毒藥物以及類固醇以減少肺部炎癥。嚴重者,除了機械通氣或人工呼吸支持外,還可使用氧氣。與SARS相關的并發癥包括呼吸、心臟和,呼吸急促是冠狀病毒引起肺炎的指標。